
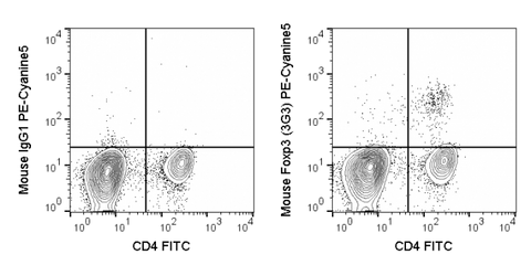
PE-Cyanine5 Anti-Mouse Foxp3 (3G3)
View Cart or Continue shopping.
Description
The 3G3 antibody reacts with mouse Foxp3, a 50-55 kDa transcription factor which is a central regulator of T cell activity and is critical for the development and function of regulatory T cells (Tregs). Foxp3 is expressed at constitutively high levels in Treg cells, which are further identified as being CD4+ CD25+. In resting conventional T cells (CD4+ CD25-) Foxp3 expression is restricted, and upon TCR activation is expressed only transiently and in a small proportion of cells. However, the growth factor TGF-beta has been shown to induce expression of Foxp3 in native T cells, driving their development into Foxp3+ Tregs, which are called induced or adaptive Tregs. These cells are phenotypically similar to so-called natural Tregs (CD4+ CD25high Foxp3+) which originate in the thymus and comprise the majority of Treg cells. Tregs are critical for maintaining peripheral tolerance and are implicated in the development of autoimmunity.
It is important to review the literature in choosing an antibody for the Foxp3 antigen in flow cytometry, as the potential for high background or non-specific staining may be observed. The 3G3 antibody may be used for intracellular detection of Foxp3 in cells from mouse and Rhesus macaque.
Name | PE-Cyanine5 Anti-Mouse Foxp3 (3G3) |
---|---|
Cat. No. | 55-5773 |
Alternative Names | Forkhead Box P3, Scurfin |
Gene ID | 50943/20371 |
Clone | 3G3 |
Isotype | Mouse IgG1, kappa |
Reactivity | Mouse |
Format | PE-Cyanine5 |
Application | Flow Cytometry |