
PE-Cyanine5 Anti-Human CD4 (RPA-T4)
View Cart or Continue shopping.
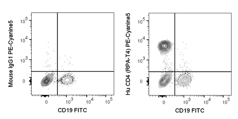
Description
The RPA-T4 antibody reacts with human CD4, a 59 kDa protein which acts as a co-receptor for the T cell receptor (TCR) in its interaction with MHC Class II molecules on antigen-presenting cells. The extracellular domain of CD4 binds to the beta-2 domain of MHC Class II, while its cytoplasmic tail provides a binding site for the tyrosine kinase lck, facilitating the signaling cascade that initiates T cell activation. CD4, and co-receptors CCR5 and CXCR4, may also be utilized by HIV-1 to enter T cells. Human CD4 is typically expressed on thymocytes, some mature T cell populations such as Th17 and T regulatory (Treg) cells, as well as on dendritic cells.
The RPA-T4 antibody is widely used as a phenotypic marker for human CD4 expression, and is cross-reactive with Chimpanzee CD4. This antibody recognizes a different epitope, and thus does not block binding of, the alternative Anti-Human CD4 antibody clone OKT4 (Reinherz EL, et al. 1979. Proc. Natl. Acad. Sci. 76:4061-4065).
Name | PE-Cyanine5 Anti-Human CD4 (RPA-T4) |
---|---|
Cat. No. | 55-0049 |
Alternative Names | Leu-3, T4 |
Gene ID | 920 |
Clone | RPA-T4 |
Isotype | Mouse IgG1, kappa |
Reactivity | Human |
Cross Reactivity | Chimpanzee |
Format | PE-Cyanine5 |
Application | Flow Cytometry |