
PE Anti-Human CD40 (G28.5)
View Cart or Continue shopping.
Description
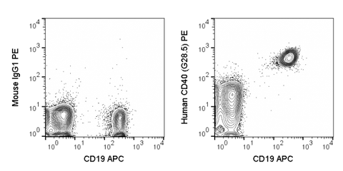
The G28.5 antibody reacts with human CD40, a 45-48 kDa glycoprotein that is a member of the TNFReceptor superfamily. CD40 is expressed on B cells, follicular dendritic cells, macrophages, endothelial cells, and fibroblasts. CD40 functions as a receptor for CD154 (CD40 ligand) and mediates a wide variety of immune and inflammatory responses including co-stimulation, B cell differentiation, isotype class switching, and germinal center formation.
Name | PE Anti-Human CD40 (G28.5) |
---|---|
Cat. No. | 50-0410 |
Alternative Names | TNFRSF5 |
Gene ID | 958 |
Clone | G28.5 |
Isotype | Mouse IgG1, kappa |
Format | PE |
Application | Flow Cytometry |