
APC Anti-Mouse CD366 (TIM-3) (RMT3-23)
View Cart or Continue shopping.
Description
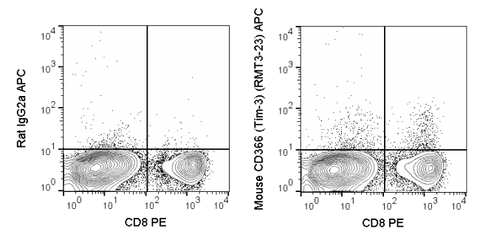
The RMT3-23 antibody reacts with mouse CD366 which is also known as Tim-3 (T cell immunoglobulin and mucin domain containing protein-3). Tim-3 is expressed on activated monocytes, macrophages, dendritic cells, and mast cells. Additionally, Tim-3 is found on Th1 lymphocytes and functions as an inhibitory receptor involved in the maintenance of immune homeostasis and self tolerance.
Name | APC Anti-Mouse CD366 (TIM-3) (RMT3-23) |
---|---|
Cat. No. | 20-5870 |
Alternative Names | Havcr2, TIM3, Timd3 |
Gene ID | 171285 |
Clone | RMT3-23 |
Isotype | Rat IgG2a, κ |
Reactivity | Mouse |
Format | APC |
Application | Flow Cytometry |