
APC Anti-Mouse CD272 (BTLA) (6A6)
View Cart or Continue shopping.
Description
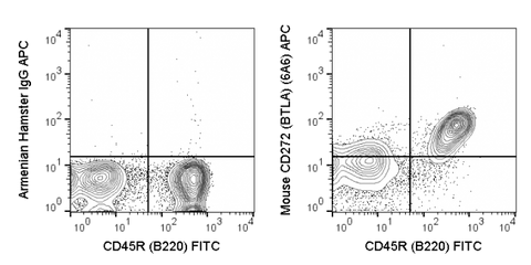
The 6A6 antibody reacts with mouse CD272, a type 1 transmembrane glycoprotein and member of the Ig superfamily. CD272, also known as BTLA (B and T Lymphocyte Attenuator), is expressed on peripheral lymphocytes as well as developing B and T cells, macrophages, and dendritic cells. CD272 is a receptor for CD270 (HVEM) and is structurally similar to CD152 (CTLA-4) and CD279 (PD-1) and functions as a negative regulator of B and T cell responses.
Name | APC Anti-Mouse CD272 (BTLA) (6A6) |
---|---|
Cat. No. | 20-5954 |
Gene ID | 208154 |
Clone | 6A6 |
Isotype | Armenian Hamster IgG, kappa |
Application | Flow Cytometry |